En el Centro de Reproducción de la Facultad de Ciencias Veterinarias de la UNLPam (CERELAP) se realizó, en el mes de mayo, una práctica de transferencia de embriones ovinos de las razas Black Dorper y Texel.
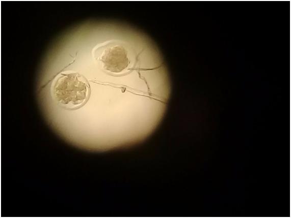
La transferencia de embriones consiste en la generación de embriones por hembras donantes de alto mérito genético que posteriormente son transferidos a hembras receptoras en las que se ha realizado una sincronización del celo y en las cuales continúa la gestación. Los embriones se obtienen por vía quirúrgica o bajo control endoscópico.
El objetivo de esta práctica es incrementar el número de crías proveniente de las hembras de alto valor genético y de esta forma disponer de animales superiores en menos tiempo. Esta biotecnología permite aprovechar la gran cantidad de ovocitos que existen en los ovarios de una hembra para lo cual se realiza una estimulación de los mismos mediante tratamientos hormonales, generando una ovulación múltiple que es fecundada mediante inseminación artificial con machos genéticamente superiores. Los valores medios alcanzan a ser hasta diez veces superiores a la tasa ovulatoria promedio de la raza.
La Facultad de Ciencias Veterinarias de la UNLPam tiene entre sus objetivos de extensión la de colaborar con la introducción y difusión de nuevas razas o genotipos de alto valor productivo que contribuyan al mejoramiento genético de las majadas de los pequeños y medianos productores rurales de su zona de influencia. Para ello ha comenzado a desarrollar una cabaña destinada a la producción de razas ovinas y caprinas.
En el caso de la producción ovina, se eligieron razas especializadas en la producción de carne, como la Black Dorper, una raza de pelo que permite obtener corderos pesados precoces y la Texel, una raza de lana que produce carne de calidad. En la práctica participaron docentes investigadores, graduados y alumnos avanzados de la casa de altos estudios.
Fuente: Prensa y Difusión. FCV - UNLPam






No hay comentarios aún.